駒沢よしや矯正歯科 駒沢大学駅の矯正歯科専門医院

〒154-0012 東京都世田谷区駒沢4-18-17

TEL:090-4327-0356

歯並びのお悩み
何でもご相談ください

-土日診療・WEB予約受付中-

Reservation

Greeting

『人生が着実に
変わる矯正歯科。』
駒沢よしや矯正歯科は
矯正歯科専門の医院です。

駒沢よしや矯正歯科 院長 吉屋 慶章 よしや よしあき

こんにちは、駒沢よしや矯正歯科の院長、吉屋 慶章(よしや よしあき)です。
矯正治療を通して、笑顔に自信を持ちたい、かみ合わせを良くして健康的な生活を送りたいとお考えの方へ、私たちがお手伝いします。

当院には、たくさんの患者様がご来院くださり、「治療を受けて本当に良かった」「もっと早く始めていれば良かった」というお声をたくさんいただいています。矯正治療は見た目の改善だけでなく、噛み合わせや歯磨きのしやすさが向上し、長期的な歯の健康を保つためにも非常に有効です。美しい歯並びは、笑顔に自信をもたらし、日常生活やコミュニケーションにもポジティブな影響を与えます。

皆様が笑顔で、健康的な生活を送れるよう、全力でサポートさせていただきます。皆様のご来院を心よりお待ちしています。

Hours

■診療時間

月・火・水・木・金・土
AM 9:30-13:00
PM 14:30-19:00
  • 休診日:日曜、祝日
  • ※完全予約制

Access

当院へのアクセス

〒154-0012
東京都世田谷区駒沢4-18-17 ル・ヴェール1階

東急田園都市線 駒沢大学駅より徒歩5分

東急田園都市線 桜新町駅より徒歩12分

Googleマップを開く

Treatment 診療案内

矯正専門クリニックだからできる
様々な矯正治療のアプローチから選ぶ
あなただけの治療プラン

料金について

About Tooth Align 歯ならびについて

デコボコ

デコボコ

全体に歯並びがデコボコと乱れた状態

出っ歯

出っ歯

前歯が下の前歯よりも前に出ている状態

受け口

受け口

下の前歯が上の前歯より前方にでている状態

すきっ歯

すきっ歯

歯と歯との間にすき間があいている状態

口が閉じない

口が閉じない

上下の歯に隙間ができて咬み合わない状態

深い咬み合わせ

深い咬み合わせ

上の前歯が下の前歯を覆ってしまう状態

上下顎前突

上下顎前突

口元全体が前に突出している状態

交叉咬合

交叉咬合

歯列が交叉し上よりも下の歯列が外に出る状態

歯並びのお悩みを持っている方は
数多くいらっしゃいます。
あなただけの素敵な笑顔を手に入れませんか?
歯並びは一生物です。まずはご相談ください。

矯正相談の予約をする

Case歯並び治療症例

大人の歯並び治療症例

大人の歯並び治療

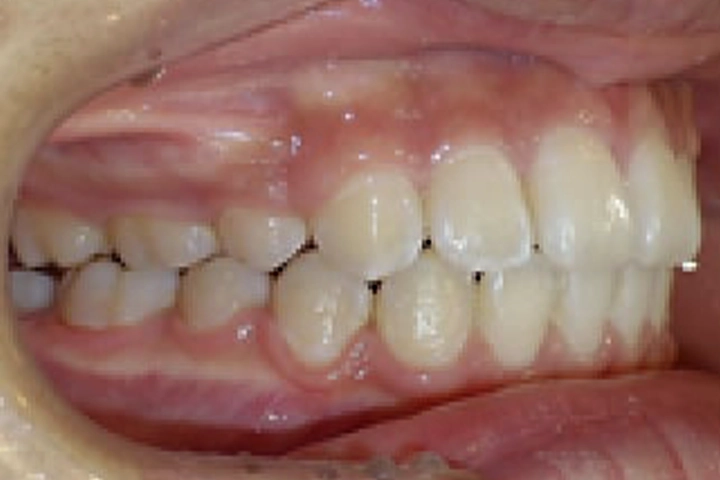
上の前歯が出ている(上顎前突)のが気になるとご来院された大人の症例です。

歯の矯正症例紹介

こどもの歯並び治療症例

こどもの歯並び治療

上の前歯が出ている(上顎前突)のが気になるとご来院されたお子さまの症例です。

歯の矯正症例紹介

Facility院内紹介

駒沢よしや矯正歯科では治療はもちろん、個室タイプの診療室で周囲を気にすることなく矯正治療を受けていただける環境を整えています。一生通っていただけるような矯正歯科を目指しております。使用する機器の滅菌はもちろん、感染予防のための衛生管理を徹底して院内感染の予防に努めております。

院内紹介